部分矯正は主に前歯の歯列の乱れに対応して治療いたします。極端に噛み合わせの不正がない場合は部分矯正で十分というケースもあるので、一度ご相談にお越しください。
主訴 |
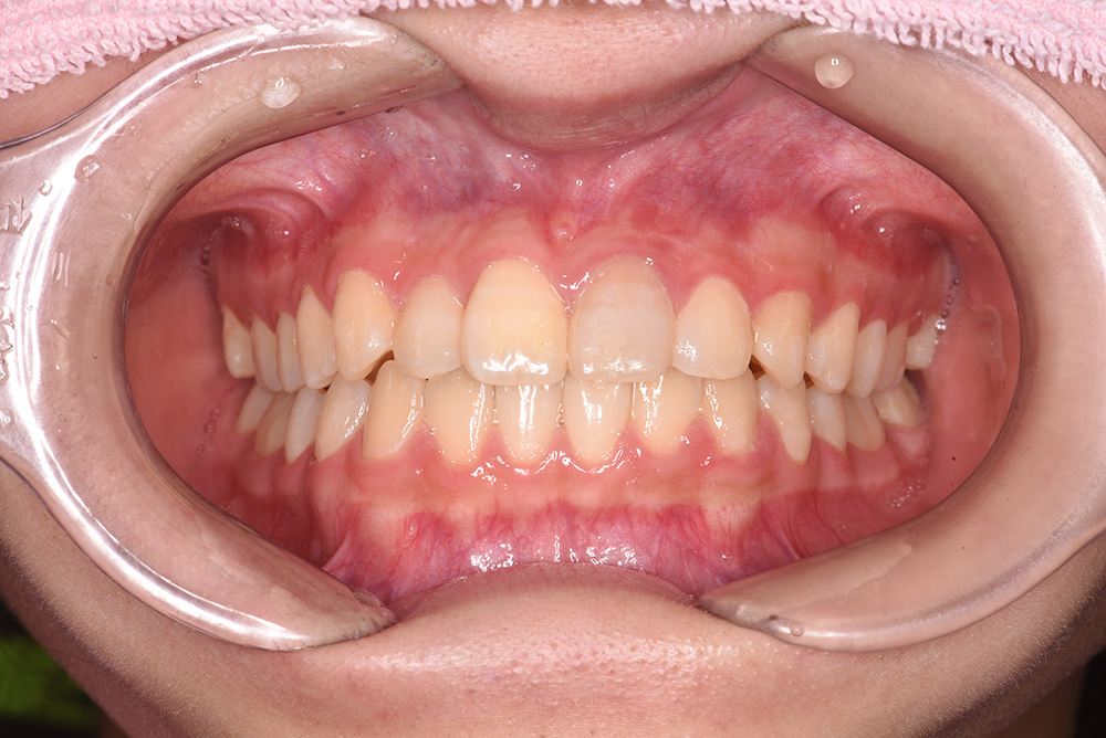
上顎犬歯を正しい位置に誘導したい、審美的改善を希望。 |
|---|---|
治療内容 |
マルチブラケット装置使用による部分歯列矯正。 |
通院期間・回数 |
約6ヶ月、通院回数8回 |
費用 |
¥220,000(税込) |
副作用・リスク |
歯肉退縮の可能性。 |
歯根吸収の可能性。 |

写真1 |
治療中 |
|---|

写真2 |
治療後 |
|---|
お一人おひとり違う歯並び。当然矯正治療の方法も異なります。中津まさデンタルクリニックでは患者様の理想に近くなおかつご希望に沿った矯正治療計画をご提案いたします。
