当院は、レーザーを使用せず、安心・安全な施術を行っており、患者様お一人おひとりの歯の状況を考えてご提案します。使用する薬液は、身体に優しく、歯がしみにくく、知覚過敏の出やすい方にも安心してご利用頂けます。不自然ではなく、自然で透明感のある歯の白さをホワイトニングで実現する事が出来ます。
ホワイトニングを行う前には、必ず歯に付着した汚れをクリーニングし、その後に漂白効果のある薬剤を用いて歯を白くいたします。歯は一切傷つけませんのでご安心ください。


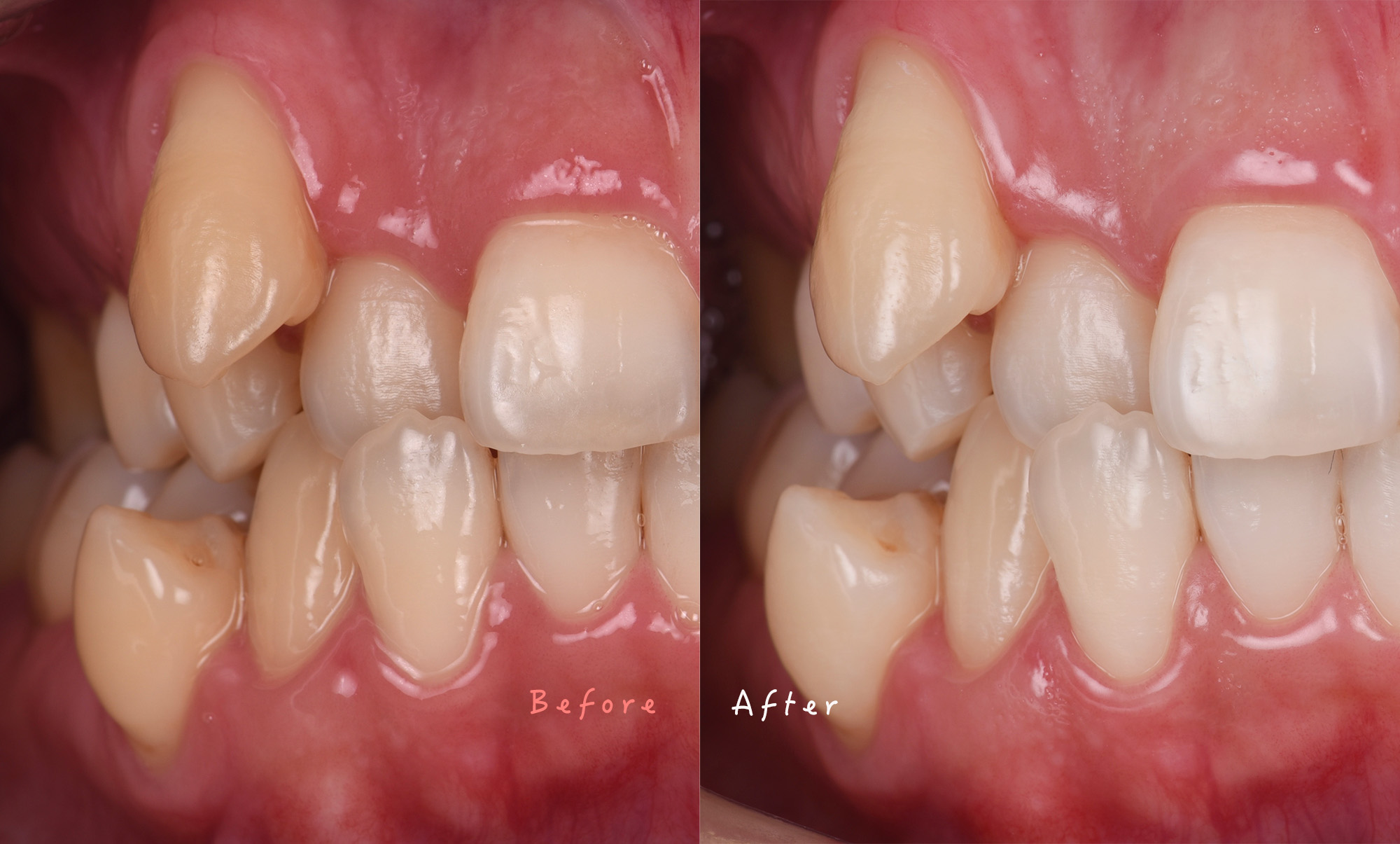
こちらの患者様は、上の前歯の真ん中にプラスチックの詰め物が入っており、詰め物をやりかえる前に全体の歯を白くされる事をご希望して来院されました。
そこで、オフィスホワイトニングをたった一回施術することで歯の印象が変わりました。
この方のように、詰め物や被せ物を新しい物にやりかえる前にホワイトニングを行うことで、全体的に明るくなった歯に見合う色の詰め物を入れることができます。


完全お任せでホワイトニングしたい、空き時間にご自宅でホワイトニングしたい、徹底的に効果を出す事にこだわったホワイトニングを行いたいという方々。
当院にご相談してもらえれば、患者様のお口の状態に応じたホワイトニングをご用意いたします。ご要望に応じて施術いたしますのでお気軽にお申し付けください。


| ポイント | 医院で施術・即効性 |
|---|---|
| 特徴 | 過酸化水素35%歯の表面をクリーニングし、薬剤を塗って約20分前後放置することで歯を白くします。 短時間に白くすることができますが、そのぶんだけ後戻りも早いと言われています。 使用する薬剤は比較的濃度の高い35%前後の過酸化水素を含む薬剤を使用するので、即効性のある施術が可能となります。 術前にクリーニングも行いますオフィスホワイトニングは一般的に後戻りが早いと言われておりますが、当院では後戻りが極力少なくなりますようホワイトニングの施術前後におこなうクリーニングシステムを推奨しております。 |
| 薬剤 | ウルトラティーズ
|
| 施術の流れ | その日のうちに完了します
|
ポイント |
自宅で空き時間でできる。 |
|---|---|
| 特徴 | ホームホワイトニングとは自宅でホワイトニングを行なう方法です。 個人の型を取ったマウスピース(カスタムトレー)と、ジェルの薬剤などを使用します。 薬剤はオフィスホワイトニングとは異なり低濃度の10%過酸化尿素や3%程度の過酸化水素を含む薬剤を使用します。 約1〜2週間で1クールになります。 |
| 薬剤 | オパールエッセンス
|
ポイント |
オフィス・ホームの複合型。 |
|---|---|
特徴 |
オフィスホワイトニングとホームホワイトニングを併用したデュアルホワイトニングもおすすめします。 それぞれの薬剤が相互に作用し、より歯の色に艶が出て綺麗に白くなります。 デュアルホワイトニングは色が後戻りしにくいことが特徴ですので、ホワイトニングの漂白効果を最大限まで発揮させたいという方であれば、こうしたホワイトニングプランがおすすめとなります。 |
| 薬剤 | ウルトラティーズ
オパールエッセンス
|
歯を白くしたいから、キレイな口元になりたいから、楽しくおしゃべりしたいから、思いっきり笑いたいから、写真に遠慮なく写りたい、だからこそホワイトニングをおすすめ致します。
歯を美しく健康的なお口にしたいからこそ、当院は白くする事にこだわりがあります。
ご興味が少しでもあれば、遠慮なさらずに当院までご一報ください。
